金属の留め具を使用しない部分入れ歯(50代女性)

治療前 
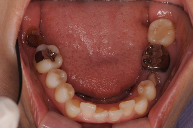
治療後
| 症状 | 左下5の補綴治療 |
|---|---|
| 治療方法 | ノンクラスプデンチャー(自由診療) |
| 費用 | ¥88,000-(治療時) |
| 備考 | 治療期間:2023年2月 |
患者様情報
| 年代 | 50代(治療時) |
|---|---|
| 性別 | 女性 |
治療の流れ

【治療前】
左下5の補綴治療が必要な状態

【治療後】
金属の留め具がないため、自然な仕上がりに


| 症状 | 左下5の補綴治療 |
|---|---|
| 治療方法 | ノンクラスプデンチャー(自由診療) |
| 費用 | ¥88,000-(治療時) |
| 備考 | 治療期間:2023年2月 |
| 年代 | 50代(治療時) |
|---|---|
| 性別 | 女性 |

【治療前】
左下5の補綴治療が必要な状態

【治療後】
金属の留め具がないため、自然な仕上がりに