金属の留め具を使用しない部分入れ歯(60代女性)

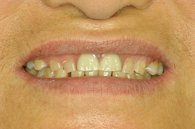
治療前 
治療後
| 症状 | 入れ歯の金属の留め具が折れてしまった |
|---|---|
| 治療方法 | ノンクラスプデンチャー(自由診療) |
| 費用 | ¥88,000-(治療時) |
| 備考 | 治療期間:2023年5月~2023年6月 |
患者様情報
| 年代 | 60代(治療時) |
|---|---|
| 性別 | 女性 |
治療の流れ

目立ちにくい留め具を使用し、自然な仕上がりに


| 症状 | 入れ歯の金属の留め具が折れてしまった |
|---|---|
| 治療方法 | ノンクラスプデンチャー(自由診療) |
| 費用 | ¥88,000-(治療時) |
| 備考 | 治療期間:2023年5月~2023年6月 |
| 年代 | 60代(治療時) |
|---|---|
| 性別 | 女性 |

目立ちにくい留め具を使用し、自然な仕上がりに