インビザラインGO症例(20代女性)

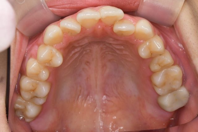
治療前 
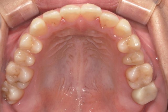
治療後
| 症状 | 軽度の歯列不正あり |
|---|---|
| 治療方法 | インビザラインGO(マウスピース矯正) |
| 費用 | ¥440,000-(治療時) |
| 備考 | 治療期間:2023年8月~2024年8月 |
患者様情報
| 年代 | 20代(治療時) |
|---|---|
| 性別 | 女性 |
治療の流れ

【治療前】
特に前歯部に歯列不正が見られる

【治療後】
歯列が適切な位置に改善された


| 症状 | 軽度の歯列不正あり |
|---|---|
| 治療方法 | インビザラインGO(マウスピース矯正) |
| 費用 | ¥440,000-(治療時) |
| 備考 | 治療期間:2023年8月~2024年8月 |
| 年代 | 20代(治療時) |
|---|---|
| 性別 | 女性 |

【治療前】
特に前歯部に歯列不正が見られる

【治療後】
歯列が適切な位置に改善された